Replace Multiple Teeth Permanently Without Dentures
Restore your smile with a secure, natural-looking implant-supported bridge in Louisville, CO.
WE WELCOME NEW PATIENTS TO OUR FRIENDLY DENTAL OFFICE
Schedule Your FREE Dental Implant Consultation
Posted on Sarai LukschTrustindex verifies that the original source of the review is Google. Dr. Barta is thorough and has curated a very pleasant and talented team of hygienists and administrative staff. Their entire office truly cares about patients and they are incredibly thoughtful, warm, and genuine. I love the entertainment options while getting my teeth cleaned too - it’s like a small mom vacation! 🙂 Thank you Dr Barta and team for taking care of our whole family!Posted on Gio JoensTrustindex verifies that the original source of the review is Google. The good folks at The Dentist in Louisville took great care of me when I came in with chipped teeth. They set up a reasonable plan for care and repair of my teeth and gums. I highly recommend Dr. Barta and his team. They’re caring friendly, and professional. I highly recommend The Dentist in Louisville. They’re awesome!Posted on J ScottTrustindex verifies that the original source of the review is Google. I feel so fortunate to have found such a professional, knowledgeable, and kind dentist office. All of the five-star reviews are spot on. Angeliece runs an efficient front office, and she ensured I had all the information I needed regarding appointments and paperwork. Melissa, the dental hygienist, and Dr. Barta were focused on my health and comfort while performing a thorough exam of my teeth and gums. I left knowing exactly what was going on with my oral health and look forward to working with this smart and proactive team for years to come.Posted on Lisa AtallahTrustindex verifies that the original source of the review is Google. Great dentist practice in Louisville. Lindsey was a prefect hygienist, and Dr Barta is thorough and professional. Highly recommend!Posted on Diana WalleyTrustindex verifies that the original source of the review is Google. Love this practice! They are professional and friendly. My entire family is switching to Doctor Barta!Posted on Taryn CawlfieldTrustindex verifies that the original source of the review is Google. Dr. Barta is stellar. He is professional, kind, and truly cares about his patients well-being. His team holds his high standards of care and concern for his patients and his office vibe is welcoming and comforting. Dr. Barta's dental work is phenomenal and he always makes sure I'm comfortable and that my experience is pain-free. I have had many dentists over my decades of life and he's the absolute best, by far. He creates a stress-free environment and he makes me feel like I'm just visiting an old friend whenever I'm there. I highly recommend Dr. Barta.Posted on Ariel QuinnTrustindex verifies that the original source of the review is Google. The employees of this establishment are extremely kind and courteous. Additionally, the person cleaning my teeth spent extra time to help me get all the tea stains off. I really, really appreciated their help. I also have 5 children, so they arranged to have all of us taken care of at once and we effectively took over the office. They were extremely good with kids. I highly recommend the office.Posted on Patrick WassermanTrustindex verifies that the original source of the review is Google. I’m a relatively new patient here but I’ve loved my experience thus far! Picking a new dentist is always a stressful decision but I couldn’t be happier. Highly recommended!Verified by TrustindexTrustindex verified badge is the Universal Symbol of Trust. Only the greatest companies can get the verified badge who has a review score above 4.5, based on customer reviews over the past 12 months. Read more
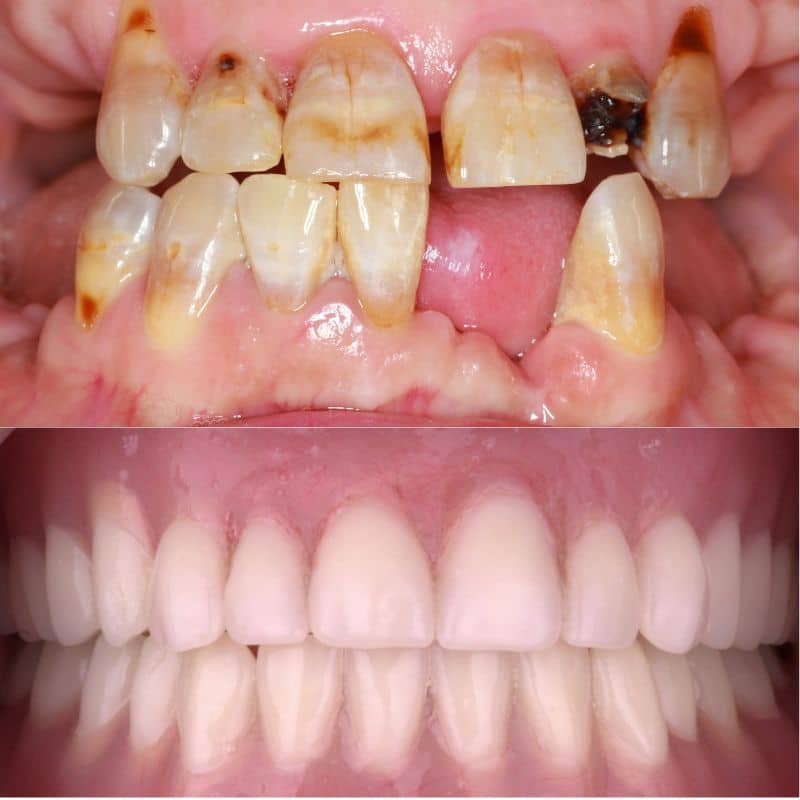
Missing Multiple Teeth? It Affects More Than You Think.
When you’re missing several teeth in a row, everyday life can become frustrating and uncomfortable.
- Difficulty chewing certain foods
- Gaps that affect your speech and confidence
- Increased strain on surrounding teeth
- Bone loss in the jaw over time
You deserve a solution that feels stable, natural, and long-lasting.
A Strong, Fixed Solution for Multiple Missing Teeth
An implant-supported bridge replaces several missing teeth using just a few strategically placed dental implants, giving you a secure, permanent alternative to traditional bridges or removable options. Dr. Barta has extensive experience in placing dental implants.
Free Consultation
We use advanced 3D imaging to assess your smile, evaluate bone structure, and determine the ideal placement for your implants.
Implant Placement
A small number of titanium implants are placed in the jawbone to support your bridge. These act as strong, stable anchors.
Custom Bridge Placement
Once healing is complete, we place a custom-crafted bridge designed to match your natural teeth—restoring both function and appearance.
Real Patients. Real Results.



Are Dental Implants Right for You?
We provide comprehensive dental implant care right here in Louisville, so you don’t have to visit multiple offices.
An implant-supported bridge may be ideal if you:
- Are you missing multiple teeth in a row?
- Want a fixed, non-removable solution
- Prefer not to wear partial dentures
- Want to protect your remaining natural teeth
Not sure if you qualify? That’s exactly what your free consultation is for.
Faster Healing. Better Outcomes.
ADVANCED TECHNOLOGY,
PRF + BONE GRAFTING
We offer advanced procedures like Platelet-Rich Fibrin (PRF) to help your body heal naturally and efficiently.
- Promotes faster healing
- Reduces discomfort and swelling
- Improves implant success rates
If needed, we also perform bone grafting in-house, so you don’t have to visit multiple specialists.
Frequently Asked Questions
Welcome to our frequently asked questions section! Find quick answers to common questions below. Be sure to give us a call if we can answer any questions for you!
Most patients with multiple missing teeth are great candidates. We’ll evaluate your bone health and overall oral condition using advanced imaging. If additional support is needed, options like bone grafting can help make treatment possible.
Most patients with multiple missing teeth are great candidates. We’ll evaluate your bone health and overall oral condition using advanced imaging. If additional support is needed, options like bone grafting can help make treatment possible.
Treatment timelines vary depending on your individual needs and healing time. While the process may take a few months, each step is carefully planned to ensure long-term success—and many patients are surprised at how manageable it is.
Costs vary based on your treatment plan and the number of implants needed. During your free consultation, we’ll provide a clear estimate and discuss flexible financing options to make treatment affordable.
